Zum ersten Mal wurde ich mit diesen Störungen im Jahr 2001 konfrontiert, bei einem Patienten, der mit rheumatischen Gelenkbeschwerden zur Behandlung kam.
Dieser 35jährige Mann, bekam schon über eine längere Zeit Cortison und hatte trotzdem immer Gelenkbeschwerden verbunden mit Gliederschmerzen, Schwellungen im Bereich der Handwurzelknochen, welche extreme Bewegungseinschränkungen verursachten.
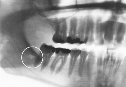
Bei der DentalReflex-Überprüfung wurde eine deutliche Belastung im Bereich des 18./19. festgestellt. Es war vor Jahren eine Extraktion des 18. vorgenommen wurden. Da der Kieferknochen in diesem Bereich laut DentalReflex-Testung einen Herd aufwies, wurde eine OP in diesem Bereich vorgenommen. Nach dieser OP waren die oben angegebenen Beschwerden ohne andere Therapien für einen Zeitraum von 8 Wochen völlig verschwunden! Nach ca. 12 Wochen waren die gleichen Beschwerden wieder vorhanden. Bei einer erneuten Testung wurde festgestellt, dass im Kieferknochen Regio 48 eine Belastung vorhanden war. Der Patient gab an, dass in diesem Bereich nie ein Weisheitszahn gezogen wurde und dass dieser Zahn auch nicht angelegt war.
Auch bei gründlicher Inspektion des Leerkieferabschnittes im Bereich des 4. Quadranten konnte optisch kein Herd oder Störfeld ausgemacht werden. Es wurde trotzdem ein OP-Termin vereinbart, weil der Patient angab, dass er immer, wenn er über die entsprechende Zahnzone des 48. behandelt wurde, tagelang keine nennenswerten Schmerzen und Bewegungseinschränkungen mehr hatte. Dieser Test der Störfeldbeeinflussung über die entsprechenden Reflexzonen ist viermal gemacht worden, mit immer den gleichen positiven Ergebnissen. Das war der Grund, warum der Patient sich schließlich zu einer Operation entschloss.








